Klassikern: Grejen med magnetkameran
Den kan visa nästan allt inne i kroppen, men omgärdas också av rigorösa säkerhetsföreskrifter. Magnetkameran introducerades på 1980-talet och sedan dess har mycket hänt. Vårdfokus berättar historien om ett kraftfullt redskap i vården.
Introducerades på 1980-talet Den introducerades i sjukvården på 1980-talet och är i dag oumbärlig. En del säger magnetröntgen, vilket är fel då joniserande strålning inte används. Magnetkamera, eller MR-kamera, är vedertaget. Det officiella namnet, magnetisk resonanstomografi, beskriver vad som händer vid en undersökning. Magnetfält påverkar atomkärnor i kroppen vilket kan omvandlas till bilder i flera skikt, en tomografi.
Tippar protonerna Människokroppen består till stor del av vatten. Vattenmolekyler innehåller en syreatom som binder två väteatomer, vars kärna är en positivt laddad proton som roterar och genom induktion blir till en liten magnet. MR-kamerans magnetfält får majoriteten av protonerna att peka åt samma håll. Genom att skicka pulser av radiovågor in i kroppen går det att tippa protonerna. När radiovågorna stängs av försöker protonerna göra sig av med den extra energin de fått och återgår till sitt ursprungsläge. Detta skapar radiovågor som kan detekteras och bearbetas till en bild.
Olika biologiskt material kan urskiljas Hur lång tid det tar för protonerna att nå sitt ursprungsläge beror på molekylernas storlek, hur molekylerna är bundna till andra ämnen och hur mycket vatten som finns i vävnaden. Det innebär att man kan urskilja olika typer av biologiskt material, som fett, blod, muskler, ben med mera. Ibland används även kontrastmedel för att ännu tydligare urskilja vävnader eller patologiska tillstånd.
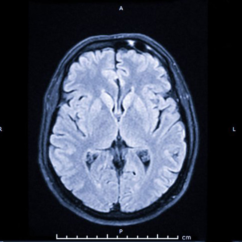
Fler användningsområden hela tiden Dagens magnetkameror är kraftfulla med detaljrik upplösning. De används till en stor mängd undersökningar, allt från skador på skelett till cancer och sjukdomar som påverkar blodflöden i kärl och hjärta. Även funktioner i hjärnan kan registreras, som beroenden och depression. Användningsområdena utvidgas och förbättras för varje år
Rigorösa säkerhetsföreskrifter MR-undersökningar är generellt sett väldigt säkra. Men patienter kan skadas om det finns magnetiska föremål i kroppen, eller om objekt dras in i kameran. Trots rigorösa säkerhetsföreskrifter är det relativt vanligt med nära ögat-incidenter som skulle kunna ha lett till allvarliga skador, visar studier. Dödsfall har inträffat i USA, Indien och senast i Sydkorea när människor träffats av syrgastuber.
Kärt barn med många namn
Svänger som kompassnålar

Kan se nästan allt i kroppen

Snabb utveckling
Mänskliga faktorn största risken

Källa: Nationalencyklopedin, Nobelstiftelsen, Wikipedia, Johan Kihlberg.